Como corrigimos o sorriso da Thaís: um caso complexo tratado com Ortodontia em Curitiba
Todo sorriso tem uma história. Hoje quero compartilhar a trajetória da Thaís, uma jovem de 15 anos que chegou até nós bastante incomodada com sua mordida e com a forma como seus lábios se posicionavam. Sua queixa principal era: "Meus dentes não se tocam e meu lábio está muito para fora."
Esse tipo de alteração é conhecido em Ortodontia como Classe III de Angle, um nome técnico para um problema em que os dentes de baixo ficam mais para frente do que os de cima, causando a chamada "mordida cruzada" ou "mordida invertida". Esse tipo de desarmonia pode afetar o encaixe da mordida, o sorriso e até a estética facial.

No caso da Thaís, além dessa inversão da mordida, ela também apresentava ausência de alguns dentes permanentes (chamamos isso de agenesia) e mordida aberta, o que dificultava ainda mais a função mastigatória e a estética. Era um caso desafiador, mas que, com planejamento preciso e execução cuidadosa, trouxe um resultado transformador.

O diagnóstico
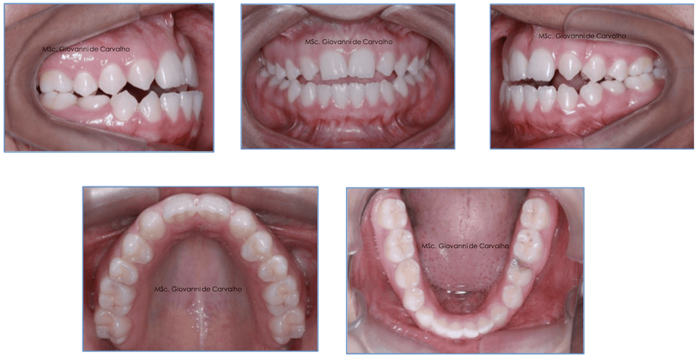
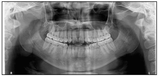
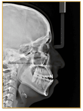
Durante a primeira avaliação, percebemos que Thaís tinha um perfil convexo, ou seja, o lábio inferior se projetava para frente, dando a sensação de que a boca estava sempre "forçando" o fechamento. Ela tinha todos os dentes permanentes, exceto os sisos, mas dois dentes importantes nunca se formaram: os incisivos laterais superiores. Além disso, mais tarde descobrimos também a ausência dos segundos pré-molares inferiores.

Sua mordida mostrava características típicas de Classe II, com dentes superiores inclinados para trás e uma mordida aberta de 2 mm, ou seja, os dentes da frente não se encontravam quando ela fechava a boca. Era um caso complexo, que exigia uma combinação de estratégias para devolver equilíbrio, estética e função.

O planejamento
Nosso objetivo foi definido em três grandes etapas:
Alinhar e nivelar todos os dentes, criando um sorriso mais uniforme.
Fechar os espaços causados pela falta dos dentes (agenesias) e melhorar o encaixe da mordida.
Harmonizar a estética do sorriso, corrigindo não só a posição dos dentes, mas também o contorno gengival e o formato dentário.
Para isso, o plano incluía a extração dos dentes de leite que ainda estavam na boca, o uso de aparelho fixo em cima e embaixo, mini-implantes como ancoragem, além do uso de elásticos entre as arcadas. Ao final, seriam feitos ajustes estéticos complementares com um especialista.

O tratamento passo a passo
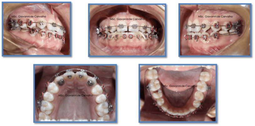
1. Aparelho superior
Instalamos o aparelho fixo na arcada superior e começamos com fios mais leves, para alinhar gradualmente os dentes. Pequenas modificações na colagem dos braquetes dos caninos ajudaram a dar uma inclinação mais natural, simulando a presença dos dentes que não existiam (os incisivos laterais).
Ainda nessa fase inicial, usamos um recurso chamado "stops" no fio, para evitar que os dentes da frente se inclinassem mais para trás e, ao contrário, os ajudassem a se projetar um pouco para frente, corrigindo a mordida.
Logo depois, iniciamos a movimentação dos dentes posteriores em direção à frente, para fechar os espaços e alinhar toda a arcada.


2. Aparelho inferior
Na arcada inferior, o aparelho foi instalado de forma convencional. Após o alinhamento inicial, removemos os dentes de leite que ainda estavam presentes e colocamos mini-implantes (pequenos parafusos de ancoragem) nos locais das extrações. Eles serviram como apoio para mover os dentes da frente para trás, corrigindo a projeção exagerada do lábio inferior.

Durante essa etapa, os elásticos intermaxilares foram fundamentais: eles ajudaram não apenas a aproximar os dentes de cima e de baixo, mas também a guiar a mordida para um encaixe correto.
3. Fase de finalização
Com a mordida corrigida, passamos para os fios mais rígidos, que dão estabilidade e permitem os ajustes finos de posição e inclinação dos dentes. O uso de elásticos de intercuspidação ajudou a deixar o encaixe da mordida ainda mais preciso.

Por fim, instalamos uma barra de contenção fixa atrás dos dentes inferiores, garantindo que o resultado fosse mantido a longo prazo.
4. Ajustes estéticos
Thaís foi encaminhada para um especialista em estética dental, que realizou pequenas cirurgias gengivais para melhorar o contorno da gengiva e, em seguida, reanatomizou os dentes da frente com resina. Esses detalhes deram o acabamento final, deixando o sorriso ainda mais harmônico e natural.

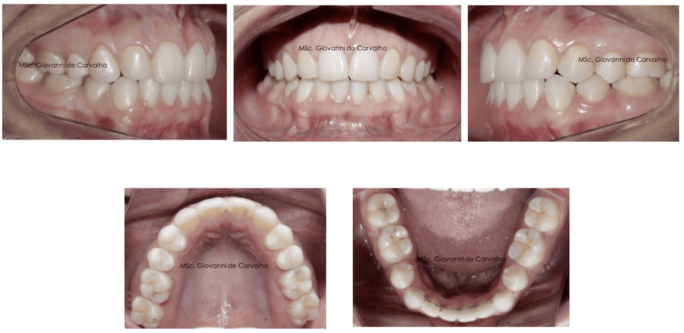
O resultado
O sorriso da Thaís passou por uma verdadeira transformação. O perfil facial ficou mais equilibrado, com lábios em posição natural e sem esforço. A mordida, antes aberta e invertida, passou a se encaixar corretamente. Os dentes ficaram alinhados, as linhas médias coincidiram e o sorriso ganhou proporção e estética.

Além da parte técnica, o mais marcante foi a mudança no olhar da paciente. Thaís recuperou a confiança, começou a sorrir mais e passou a se sentir segura com sua própria imagem. Isso é, para nós, o maior sucesso de qualquer tratamento.

Conclusão
O caso da Thaís mostra como, mesmo em situações complexas com ausências dentárias e má oclusão de Classe III, é possível alcançar resultados incríveis com planejamento detalhado e tecnologia adequada. O tratamento envolveu não apenas movimentação dentária, mas também ajustes estéticos complementares, que juntos transformaram um sorriso e, principalmente, a autoestima de uma jovem paciente.
No Instituto Hope, cada paciente é visto como único, e nosso compromisso é oferecer um atendimento de excelência, unindo tecnologia, sensibilidade e arte para criar sorrisos naturais e funcionais.

