Como corrigimos um sorriso Classe III: a história transformadora de uma paciente
Cada paciente que chega ao consultório traz consigo um desafio único e uma grande expectativa: recuperar a harmonia do sorriso. Hoje, vamos compartilhar a trajetória de uma jovem paciente de apenas 8 anos, que nos procurou com uma queixa bastante comum: "minha mordida está invertida".

Essa condição é conhecida em Ortodontia como Classe III de Angle. De forma simples, acontece quando os dentes de baixo ficam mais à frente do que os de cima, o que inverte o encaixe da mordida. Isso pode afetar não apenas a estética, mas também a mastigação, a fala e a autoestima da pessoa.
O diagnóstico inicial
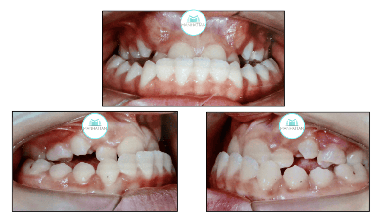
Na primeira consulta, percebemos que a paciente tinha mordida cruzada na frente e nos lados, um sorriso estreito e um queixo mais projetado, deixando seu rosto com aspecto côncavo (como se a parte do meio do rosto fosse mais "para trás"). Apesar da pouca idade, era fundamental começar o tratamento o quanto antes para evitar que o problema se agravasse.

O plano de tratamento interceptativo
O primeiro objetivo foi corrigir a mordida cruzada e estimular o crescimento da parte superior do rosto (maxila), trazendo equilíbrio entre as arcadas.
Expansão da maxila: Utilizamos um aparelho especial chamado disjuntor, adaptado para esse caso. Ele foi ativado diariamente, abrindo espaço na arcada superior. Em apenas 15 dias, já foi possível corrigir a mordida cruzada posterior.

Máscara facial: Após a expansão, instalamos uma máscara ortopédica que ajudou a "puxar" a maxila para frente. A paciente usava cerca de 12 horas por dia, geralmente em casa, evitando o período escolar. Esse processo durou aproximadamente 12 meses.
Manutenção: Depois dessa fase, a paciente passou a usar um aparelho de contenção especial (SN3), garantindo estabilidade aos resultados conquistados.
O impacto foi notável: os dentes da frente passaram a se relacionar corretamente, a mordida foi corrigida e, além disso, o perfil do rosto ficou mais harmonioso, mudando de côncavo para levemente convexo.
O tratamento corretivo na adolescência
Com o fim do crescimento da paciente, realizamos uma nova avaliação. Apesar das melhorias significativas obtidas na infância, ainda havia pequenas discrepâncias dentárias. A paciente apresentava uma leve projeção do queixo, mas que não a incomodava esteticamente.
Assim, optamos por um tratamento ortodôntico corretivo compensatório, sem cirurgia, utilizando o aparelho fixo tradicional.
O passo a passo dessa fase incluiu:
Alinhamento e nivelamento dos dentes com fios progressivos.
Controle dos dentes inferiores, evitando que eles se projetassem ainda mais para frente.
Uso de elásticos para ajustar a relação entre os dentes de cima e de baixo.
Stripping (desgastes controlados entre os dentes) para alinhar a linha média.
Ajustes finais de mordida, garantindo encaixe perfeito e função correta.
Essa fase durou cerca de 16 meses. Mesmo antes da remoção do aparelho, já observávamos dentes bem alinhados, mordida equilibrada e um sorriso estético e natural.

O resultado final
Graças à combinação do tratamento precoce com a fase corretiva, conseguimos devolver à paciente uma mordida correta, um sorriso mais largo e harmônico, além de um rosto equilibrado. O ganho estético foi notável, mas o maior resultado foi a confiança e a autoestima recuperadas.

Esse caso mostra a importância de um diagnóstico precoce e do acompanhamento contínuo. Com planejamento cuidadoso, conseguimos evitar a necessidade de cirurgia e proporcionar um resultado estável e natural.

